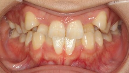
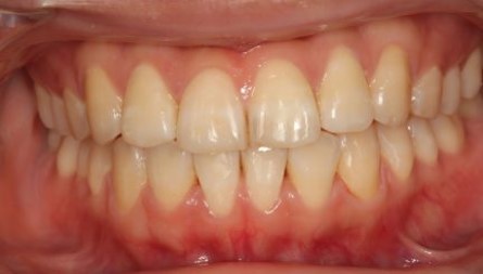
At Orthodontics Epsom, we specialise in creating beautiful, healthy smiles for patients of all ages—including children, teens, and adults. Using the latest diagnostic techniques and advanced orthodontic treatments, we tailor each plan to suit individual needs, ensuring the best possible results. Our experienced team offers a full range of orthodontic solutions, including traditional braces, Invisalign, and early preventive care for younger patients. We collaborate with visiting specialists to provide comprehensive care under one roof, making your treatment journey seamless and stress-free.Understanding the demands of modern life, we offer early morning and evening appointments for your convenience. Plus, our flexible payment options help make high-quality orthodontic care accessible and affordable. Located in the heart of Epsom, our practice is easy to reach, and we pride ourselves on creating a welcoming environment where every patient—whether a child, teenager, or adult—feels comfortable and confident in their care. If you’re considering orthodontic treatment, give us a call or visit us today. We’d love to help you achieve the smile you’ve always wanted!

Orthodontics Epsom Testimonials
5.0/5.0
EXCELLENT Based on 191 reviews Posted on Julie McClellandTrustindex verifies that the original source of the review is Google. I had an initial examination with Kelvin. He was so polite, respectful and professional which put me at ease. The examination was thorough at the end of which I was given great advice and recommendations which I could go ahead with or consider for later implementation. I also had an appointment with the hygienist who gently cleaned my teeth...no tugging or pulling as previously experienced at another dental clinic. I also had some fillings done. From the starting welcome from Kirsty the receptionist to finish it was a lovely experience. Thank you to all (Kelvin, Melissa, Rachel, Adam and Kirsty) at Alan Wilson Dentistry.Posted on Shaun DoweTrustindex verifies that the original source of the review is Google. Excellent care, support and treatment from both Alan Wilson (dentist) and Adam (hygienist). Certainly feel in very safe hands at this practice would recommend with confidence.Posted on Elaine TalbotTrustindex verifies that the original source of the review is Google. I decided to see 3 practices regarding implants to give myself a somewhat informed choice. I was impressed with the warmth and friendliness at my 1st encounter at the Alan Wilson practice who totally put me at my ease. I then met Alan who patiently explained what sort of implants I can and can’t have and why. After weighing up my 3 options, I settled on the Alan Wilson practice because I felt confident I was in safe hands. I definitely made the right choice, because the anaesthetist was brilliant no pain whatsoever during procedure, Alan whose work is of a superior standard and his assistant too is very good at her job. I was warned that I’d have some bruising, but there was none and the pain was minimal considering the major work carried out. It’s been 6 months since my procedure and I’ve just seen the Adam the hygienist and he too excels at his job. Alan has definitely picked a terrific team and I definitely gold stamp the practice.Posted on Hayley MooneyTrustindex verifies that the original source of the review is Google. I have always been nervous to go to the dentist, until I met Alan and the team. They made me feel comfortable and relaxed, and I now look forward to seeing the team each time!Posted on Denise VertigenTrustindex verifies that the original source of the review is Google. I was treated with care and excellence and highly recommend. Sandra was so helpful and explained each step of the way.Posted on Bijal PatelTrustindex verifies that the original source of the review is Google. Absolute first class service from start to the end from all of the staff involved in my tooth implant. I was very impressed with the technology used and the final result of my implant. Keep up the great work…Posted on Andrew JacksonTrustindex verifies that the original source of the review is Google. Alan and his team offer an excellent service. A warm welcome, excellent skills and technology that's way ahead of most other practices. Having experienced consultations, implants and fillings I can really recommend this practice. It offers a very high level of care and aftercare.Posted on Charlotte O'SheaTrustindex verifies that the original source of the review is Google. I have been treated by Dr Alan Wilson for many years, naturally when Alan started his own practice I followed him, as he is one of the best and most knowledgeable in the industry, he is incredably skilled, patient and explains things thoroughly, in a language I can understand. Alan and his team are caring and calm, the practice is beautiful and clean, I can recommend anyone looking for a dental practice to visit here, I have recommended many friends and family members as I know they will be in safe hands and receive only the treatment they need and want.Posted on Judy PackhamTrustindex verifies that the original source of the review is Google. I had a full set of implants fitted 2 years ago and cannot speak highly enough of the expertise and care I received at Alan Wilson Dentistry. The whole process was thoroughly explained at each stage and I could not be more delighted with the results. I was very pleasantly surprised that I suffered no pain at all following the implant surgery and barely noticeable bruising which I had been warned may happen. I would most definitely recommend Alan Wilson to anyone contemplating this process - you will be in very safe hands.Posted on Guy RogersTrustindex verifies that the original source of the review is Google. Going to the dentist has historically not been my favourite pastime but I actually like going to see Alan and co! plus all the treatment they’ve done and post treatment support has been great for me and particularly the kidsVerified by TrustindexTrustindex verified badge is the Universal Symbol of Trust. Only the greatest companies can get the verified badge who has a review score above 4.5, based on customer reviews over the past 12 months. Read more
FAQs
Private treatment is widely available. Fees for private orthodontic treatment are usually start from £2,500, but will depend on the complexity of your case.
Braces don't hurt when you get them, but minor discomfort is common. Some patients have pain while their mouth adjusts to their braces, and they describe it as a sore or achey discomfort. Mild over-the-counter pain medication are very effective at soothing braces pain
The average treatment time for traditional metal braces is 12-24 months, however, this is greatly affected by the complexity of your case. Someone with a mild overbite and only a couple of crooked teeth may only need 12 months. Someone with a severe overbite, a crossbite, several crooked teeth, and impacted teeth may need every day of that 24 months.